Question: Does it matter in which phase of respiration a chest x-ray is taken?

Question: Does it matter in which phase of respiration a chest x-ray is taken?
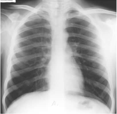
Answer: Yes. You must make sure that the film has been taken in full inspiration, as shown in this image.
At least six ribs should be visible anteriorly and 10 ribs posteriorly.
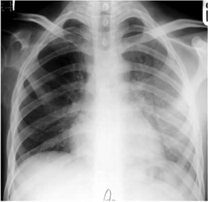
An expiratory film can look very abnormal.
These two films were taken seconds apart.
Question: Does it matter in which phase of respiration a chest x-ray is taken?
Answer: Yes. You must make sure that the film has been taken in full inspiration, as shown in this image.
At least six ribs should be visible anteriorly and 10 ribs posteriorly.
An expiratory film can look very abnormal.
These two films were taken seconds apart.